Neurología de la música y del lenguaje - Music and Language Frontiers
×
Home
Paylist
Book Series
Papers
Original Book Series
Nota del Editor
Dodecálogo
Índices
Manuales Auditivo-Vocales
Audición y Lenguaje
El Cerebro de los Músicos
Desarrollo Musical y Lingüístico
Neurología del Lenguaje
La Voz y Canto
Música y Lenguaje
Amusias
Afasias
Manual de Psicoacústica
Trastornos de la Audición y del Lenguaje
Manuales Metacorticales
Oído Biológico
Área de Wernicke
Cerebro y Mente
Creatividad y Genio
NeuroComputación
MetaCórtex
Historia del Pensamiento Humano
Filogenia del Sistema Nervioso
Antropología Humana
Sistemas Simbólicos
Classroom
Listas de Reprodcción Youtube
Conferencias Completas
Música y Evolución
Polifonía Antigua
Música y Neurociencia
Historia de la Música Occidental
Miscellanea
Curiosidades del Arte, la Ciencia y la Historia
Music and Language Frontiers Lab
Quaerendo invenietis
Música y Evolución
Audición Humana
Origenes de la Musica y el Lenguaje
Orígenes del Ritmo y de la Danza
Orígenes del Arte
Orígenes del Habla y del Canto
La Canción del Neanderthal
El Lenguaje del Neanderthal
Flautas Prehistóricas
Desarrollo Musical y Lingüístico
Antropología Musical
Polifonía Antígua
Orígenes de la Polifonía
Teatros y Auditorios Antiguos
Teatros y Auditorios del África Romana
Teatros y Auditorios de la Hispania Romana
Historia Antigua del Canto
En Busca de la Armonía Perdida
Historia General de la Consonancia
Crítica de la Policordia
Aulós Doble Grecorromano
Cuerdas en el Mundo Antiguo
Música y Neurociencia
Música y Lenguaje
Neurología de la Música y el Lenguaje
Historia de la Mente
Área de Wernicke
Síndromes Musicales
Savants Pintores y Calculadores
Neuropsicología
Creatividad y Genio
Amusias
Acalculias
Pensamiento Simbólico y Lenguaje
Historia de la Música Occidental
Tecla y Temperamento
Historia Melódica de los Metales
Romanticismo Musical
Castrato: la pasión del Bel Canto
Mahleriana
Apología de las Máquinas
El Siglo de las Luces
Lab Frontiers
Lab's Matters
MusicLanguage Images
Filogenia vocal: el origen de la música
Linaje Homo: el origen del lenguaje
Desarrollo musical y desarrollo lingüístico
Neurología de la música y del lenguaje
Neuropsicología de la música y del lenguaje
Estética y Musicología
Semántica musical y semántica lingüística
El mundo romántico: los nuevos lenguajes
Los Autores
Los Autores
Los Autores II
Los Autores III
Los Autores IV
Los Autores V
Los Autores VI
Los Autores VII
Los Autores VIII
Los Autores IX
Dibujos y Grabados
Retórica del Arte
El Renacer de Grecia
The News
Contents
The Team
The Lab
Contact
The Music and
Search
Yt
Fb
Tw
G+
Language Frontiers Lab
Title
×
Home
Paylist
Book Series
Papers
Original Book Series
Nota del Editor
Dodecálogo
Índices
Manuales Auditivo-Vocales
Audición y Lenguaje
El Cerebro de los Músicos
Desarrollo Musical y Lingüístico
Neurología del Lenguaje
La Voz y Canto
Música y Lenguaje
Amusias
Afasias
Manual de Psicoacústica
Trastornos de la Audición y del Lenguaje
Manuales Metacorticales
Oído Biológico
Área de Wernicke
Cerebro y Mente
Creatividad y Genio
NeuroComputación
MetaCórtex
Historia del Pensamiento Humano
Filogenia del Sistema Nervioso
Antropología Humana
Sistemas Simbólicos
Classroom
Listas de Reprodcción Youtube
Conferencias Completas
Música y Evolución
Polifonía Antigua
Música y Neurociencia
Historia de la Música Occidental
Miscellanea
Curiosidades del Arte, la Ciencia y la Historia
Music and Language Frontiers Lab
Quaerendo invenietis
Música y Evolución
Audición Humana
Origenes de la Musica y el Lenguaje
Orígenes del Ritmo y de la Danza
Orígenes del Arte
Orígenes del Habla y del Canto
La Canción del Neanderthal
El Lenguaje del Neanderthal
Flautas Prehistóricas
Desarrollo Musical y Lingüístico
Antropología Musical
Polifonía Antígua
Orígenes de la Polifonía
Teatros y Auditorios Antiguos
Teatros y Auditorios del África Romana
Teatros y Auditorios de la Hispania Romana
Historia Antigua del Canto
En Busca de la Armonía Perdida
Historia General de la Consonancia
Crítica de la Policordia
Aulós Doble Grecorromano
Cuerdas en el Mundo Antiguo
Música y Neurociencia
Música y Lenguaje
Neurología de la Música y el Lenguaje
Historia de la Mente
Área de Wernicke
Síndromes Musicales
Savants Pintores y Calculadores
Neuropsicología
Creatividad y Genio
Amusias
Acalculias
Pensamiento Simbólico y Lenguaje
Historia de la Música Occidental
Tecla y Temperamento
Historia Melódica de los Metales
Romanticismo Musical
Castrato: la pasión del Bel Canto
Mahleriana
Apología de las Máquinas
El Siglo de las Luces
Lab Frontiers
Lab's Matters
MusicLanguage Images
Filogenia vocal: el origen de la música
Linaje Homo: el origen del lenguaje
Desarrollo musical y desarrollo lingüístico
Neurología de la música y del lenguaje
Neuropsicología de la música y del lenguaje
Estética y Musicología
Semántica musical y semántica lingüística
El mundo romántico: los nuevos lenguajes
Los Autores
Los Autores
Los Autores II
Los Autores III
Los Autores IV
Los Autores V
Los Autores VI
Los Autores VII
Los Autores VIII
Los Autores IX
Dibujos y Grabados
Retórica del Arte
El Renacer de Grecia
The News
Contents
The Team
The Lab
Contact
Go to content
×
Home
Paylist
Book Series
Papers
Original Book Series
Nota del Editor
Dodecálogo
Índices
Manuales Auditivo-Vocales
Audición y Lenguaje
El Cerebro de los Músicos
Desarrollo Musical y Lingüístico
Neurología del Lenguaje
La Voz y Canto
Música y Lenguaje
Amusias
Afasias
Manual de Psicoacústica
Trastornos de la Audición y del Lenguaje
Manuales Metacorticales
Oído Biológico
Área de Wernicke
Cerebro y Mente
Creatividad y Genio
NeuroComputación
MetaCórtex
Historia del Pensamiento Humano
Filogenia del Sistema Nervioso
Antropología Humana
Sistemas Simbólicos
Classroom
Listas de Reprodcción Youtube
Conferencias Completas
Música y Evolución
Polifonía Antigua
Música y Neurociencia
Historia de la Música Occidental
Miscellanea
Curiosidades del Arte, la Ciencia y la Historia
Music and Language Frontiers Lab
Quaerendo invenietis
Música y Evolución
Audición Humana
Origenes de la Musica y el Lenguaje
Orígenes del Ritmo y de la Danza
Orígenes del Arte
Orígenes del Habla y del Canto
La Canción del Neanderthal
El Lenguaje del Neanderthal
Flautas Prehistóricas
Desarrollo Musical y Lingüístico
Antropología Musical
Polifonía Antígua
Orígenes de la Polifonía
Teatros y Auditorios Antiguos
Teatros y Auditorios del África Romana
Teatros y Auditorios de la Hispania Romana
Historia Antigua del Canto
En Busca de la Armonía Perdida
Historia General de la Consonancia
Crítica de la Policordia
Aulós Doble Grecorromano
Cuerdas en el Mundo Antiguo
Música y Neurociencia
Música y Lenguaje
Neurología de la Música y el Lenguaje
Historia de la Mente
Área de Wernicke
Síndromes Musicales
Savants Pintores y Calculadores
Neuropsicología
Creatividad y Genio
Amusias
Acalculias
Pensamiento Simbólico y Lenguaje
Historia de la Música Occidental
Tecla y Temperamento
Historia Melódica de los Metales
Romanticismo Musical
Castrato: la pasión del Bel Canto
Mahleriana
Apología de las Máquinas
El Siglo de las Luces
Lab Frontiers
Lab's Matters
MusicLanguage Images
Filogenia vocal: el origen de la música
Linaje Homo: el origen del lenguaje
Desarrollo musical y desarrollo lingüístico
Neurología de la música y del lenguaje
Neuropsicología de la música y del lenguaje
Estética y Musicología
Semántica musical y semántica lingüística
El mundo romántico: los nuevos lenguajes
Los Autores
Los Autores
Los Autores II
Los Autores III
Los Autores IV
Los Autores V
Los Autores VI
Los Autores VII
Los Autores VIII
Los Autores IX
Dibujos y Grabados
Retórica del Arte
El Renacer de Grecia
The News
Contents
The Team
The Lab
Contact
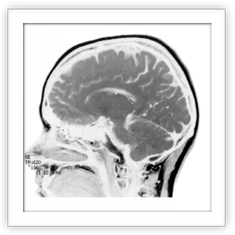
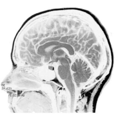
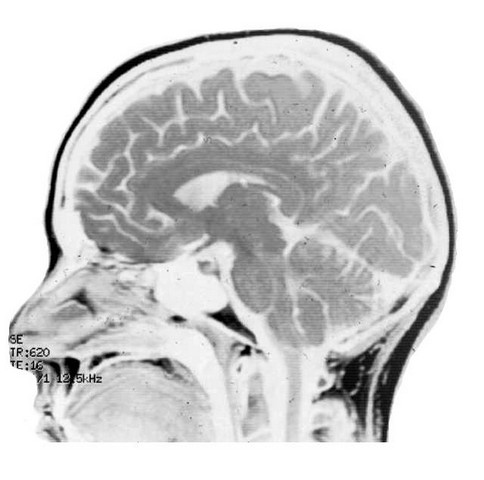
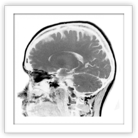
Neurología de la música y del lenguaje
Lab Frontiers > Lab's Matters > MusicLanguage Images
×
Filogenia vocal: el origen de la música
Linaje Homo: el origen del lenguaje
Desarrollo musical y desarrollo lingüístico
Neurología de la música y del lenguaje
Neuropsicología de la música y del lenguaje
Estética y Musicología
Semántica musical y semántica lingüística
El mundo romántico: los nuevos lenguajes
Back to content
To use this website you must enable JavaScript.